Dentures in Seoul and Why Korea?
Dentures in Korea: How Much Do They Cost?
Dentures in Korea are significantly more affordable than in many Western countries. The average cost for full or partial dentures in Seoul ranges from KRW 1,500,000 to KRW 1,700,000 (approximately $1,000 to $1,250 USD). depending on the type of denture, materials used, and whether it’s full or partial.
In comparison:
* In the United States, denture costs typically range from $1,000 to $4,000 per arch.
*In Australia or the UK, prices may start at $1,500 and go up to $5,000 or more.
This means patients in Korea often pay 50% to 70% less for high-quality, natural-looking dentures.
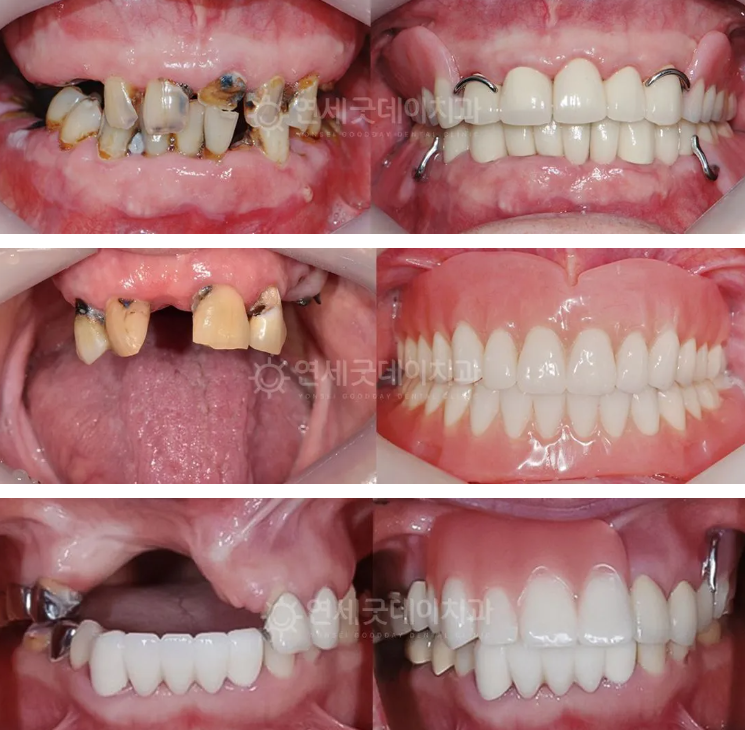
Types of Dentures Available in Korea
- Complete (Full) Dentures – Replace all teeth in the upper or lower arch.
- Partial Dentures – Used when some natural teeth remain.
- Implant-Supported Dentures – Fixed or removable dentures anchored to dental implants.
Why Are Dentures More Affordable in Korea?
- Denture fabrication is often handled by in-house or local dental labs, lowering production costs.
- Clinics in Korea use advanced digital scanners and 3D printing to speed up and perfect the fit.
- High patient volume and clinic competition drive prices down without sacrificing quality.
- Treatment is often bundled with consultation, impression, adjustments, and fittings.
- Efficient workflow and shorter delivery times reduce labor and follow-up costs.
Why Choose Yonsei Good Day Dental Clinic in Gangnam?
* Offers complete and partial dentures with personalized design and fitting.
* Uses digital impressions and CBCT imaging for enhanced accuracy and comfort.
* Provides both traditional and implant-supported denture options.
* Skilled in natural-looking aesthetics and long-term functionality.
* English-speaking staff and tailored service for international patients.
Average Cost Estimates at Yonsei Good Day Dental Clinic
* Full set of standard acrylic dentures : KRW 1,700,000 (per arch) ≈ USD 1,250
* Partial denture KRW 1,500,000 (per arch) ≈ USD 1,100
* Implant-supported dentures: KRW 1,700,000 (per arch / implant cost not included) ≈ USD 1,250
These prices usually include consultations, impressions, fittings, and basic adjustments.
Dentures in Seoul offer a combination of affordability, function, and aesthetics. With high-quality materials, digital precision, and skilled craftsmanship, Korean dental clinics—especially Yonsei Good Day Dental Clinic in Gangnam—are a top destination for patients needing full or partial tooth replacement. Whether you need traditional dentures or implant-supported options, Korea delivers excellent results at a significantly lower cost than Western countries.
Denture Before & After

