ORTHODONTICS IN GANGNAM
Comprehensive Orthodontic Treatment at YONSEI GOOD DAY Dental Clinic
Achieving a straight, healthy smile is easier than ever with advanced orthodontic treatment. At YONSEI GOOD DAY Dental Clinic in Gangnam, Seoul, we specialize in correcting misaligned teeth and jaw irregularities to improve both oral health and aesthetics. Our customized orthodontic solutions ensure a comfortable and effective experience, helping you achieve the perfect smile with precision and care.

WHAT IS ORTHODONTIC TREATMENT?
Orthodontics focuses on diagnosing and treating dental misalignments such as:
✅
Crowded or crooked teeth
✅
Overbite, underbite, and crossbite
✅
Gaps between teeth
✅
Jaw misalignment (malocclusion)
By addressing these issues, orthodontic treatment enhances oral function, prevents future dental problems, and boosts self-confidence.
OUR ORTHODONTIC SERVICES
At YONSEI GOOD DAY Dental Clinic, we offer a range of orthodontic treatments tailored to different needs and lifestyles, including:
✔️
Traditional Metal Braces – Time-tested and highly effective for severe misalignment and bite correction.
✔️
Ceramic Braces – A more discreet option using tooth-colored brackets for a less noticeable appearance.
✔️
Clear Aligners (Invisible Braces) – Removable and nearly invisible trays that gradually shift teeth into place.
✔️
Retainers – Used after orthodontic treatment to maintain alignment and prevent relapse.
📅 SCHEDULE YOUR CONSULTATION TODAY
THE ORTHODONTIC PROCESS
01. Initial Consultation
Schedule an orthodontic evaluation where our specialists assess your dental alignment and discuss the best treatment plan for your needs.
02. Digital Imaging & Treatment Planning
Using advanced digital X-rays and 3D imaging, we create a customized orthodontic plan that ensures optimal results with minimal discomfort.
03. Orthodontic Treatment Begins
Once your braces or aligners are placed, we provide regular check-ups and adjustments to ensure steady progress toward your ideal smile.
04. Retention & Long-Term Care
After treatment, a custom retainer helps maintain alignment and ensures your new smile lasts a lifetime.
WHY CHOOSE YONSEI GOOD DAY DENTAL CLINIC FOR ORTHODONTICS?
✅
Expert Orthodontic Specialists – Skilled professionals with years of experience in advanced orthodontic treatments.
✅
Cutting-Edge Technology – Digital scanning, 3D imaging, and modern braces for precise and efficient results.
✅
Comfort-Focused Treatment – Personalized care that prioritizes patient comfort and effective outcomes.
✅
Convenient Location in Gangnam – Easy access to top-tier orthodontic care in the heart of Seoul.
At YONSEI GOOD DAY Dental Clinic, we believe that a straight smile is a healthy smile. Whether you need braces, clear aligners, or other orthodontic solutions, our team is dedicated to delivering outstanding results with patient-centered care.
📅
Book your orthodontic consultation today and take the first step toward a beautifully aligned smile!
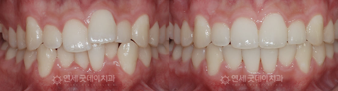
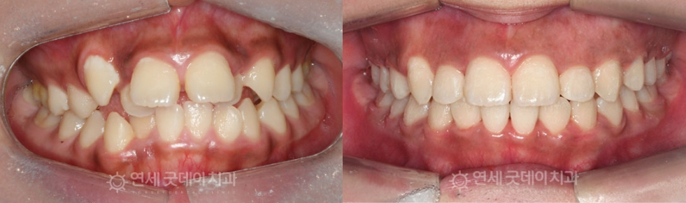
Before & After



