Traditional Braces in Seoul and Why Korea?
Cost: How Much Cheaper is It?
- Typical price in Korea: KRW 5,000,000 – KRW 8,000,000 for a full (upper and lower) traditional braces treatment in Seoul
- International comparison:
- Australia/USA: $4,500–$7,000+
- Korea offers a full adjustment at roughly 20–50% less than many Western geographies.
Why It's More Affordable
- High patient volume & medical tourism
Clinics attract both locals and international patients, enabling cost amortization across clients. - Efficient, tech-driven workflows
Digital imaging, CAD/CAM, Korean clinic systems (like monthly fixed visit fees) reduce time and labor per patient. - Lower overhead and labor costs
Compared to Western countries, running a clinic in Korea is more cost-effective, despite premium standards. - Competitive market with quality assurance
Clinics invest in leading-edge technology and training to stand out, refining cost-to-quality ratios.
Yonsei Good Day Dental Clinic (Good Day Smile), Gangnam
- Orthodontic expertise: Offers Traditional Metal Braces with orthodontic specialists and orthodontic specialists trained in digital imaging and laser technologies
- Advanced clinic tech: Equipped with CBCT 3D imaging, CAD/CAM, digital X‑rays, and laser dentistry—all supporting precise and efficient treatment .
- Specialist credentials: Led by highly trained dentists from Yonsei University with international recognition
- Patient-focused: Offers international patient support, foreign insurance acceptance, modern tech facilities, and comfortable environment
Average Cost Estimates at Yonsei Good Day Dental Clinic
- Bracket Full KRW 4,700,000 to KRW 5,200,000
- Bracket Partial KRW 2,000,000 to KRW 3,400,000
- Including braces, retainers, tooth extraction others
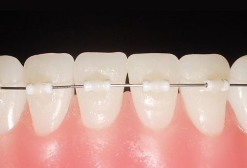
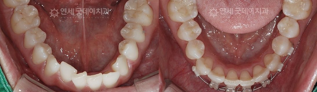
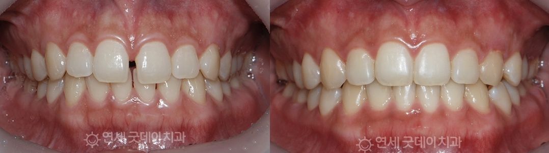
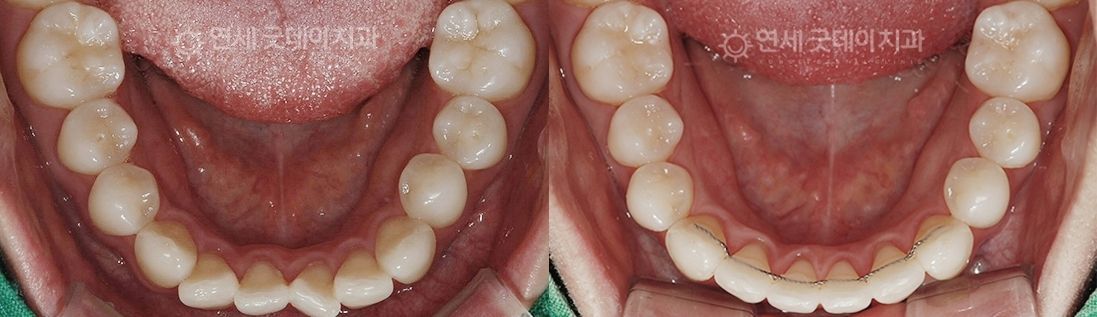
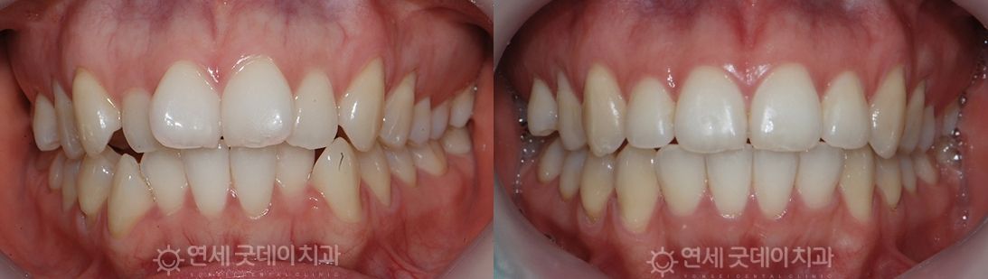
Good Day’s Traditional Braces

Damon
Unlike traditional braces that require wires to be tied with elastic or metal ligatures, this system uses a ceramic self-ligating bracket with a sliding door mechanism, representing an upgraded version of Clippy-C.
✅ Ceramic bracket body + ceramic sliding cap
✅ Reduced friction between brackets, resulting in relatively less discomfort
✅ Shorter treatment time compared to conventional orthodontic systems
✅ One of the most aesthetic options among currently available traditional orthodontic brackets

S-line
A ceramic self-ligating bracket system with a sliding door mechanism designed in a tooth-colored shade, providing excellent aesthetics during orthodontic treatment.
✅ Streamlined, ergonomic design that minimizes friction with the inside of the mouth
✅ Sliding door mechanism that secures the wire with consistent and balanced force
✅ Simplified adjustment process, helping reduce clinic visits and overall treatment time

Clippy-C
A metal self-ligating orthodontic system designed to complement the aesthetic advantages of ceramic brackets while maintaining strong durability. With reduced friction, it generally causes less discomfort during tooth movement.
✅ Ceramic bracket body + metal sliding cap
✅ Reduced friction between brackets, leading to relatively less pain and faster tooth movement
✅ One of the most widely used orthodontic bracket systems

Ceramic Brackets
To address the aesthetic limitations of traditional metal braces, the metal brackets are replaced with ceramic brackets, improving the overall appearance during orthodontic treatment.
✅
Ceramic bracket body + metal wire
✅
Tooth-colored ceramic material, making the braces less noticeable
✅
Effective for precise and detailed tooth alignment adjustments
※ Due to the
porcelain-like nature of ceramic, brackets may occasionally
chip or break.

Combination Braces
A combination orthodontic system where the upper teeth are treated with lingual braces (placed on the inside of the teeth) for better aesthetics, while the lower teeth use labial ceramic braces, which are less visible because they are partially covered by the lower lip.
✅
More cost-effective than using lingual braces on both the upper and lower teeth
✅
Better aesthetics compared to conventional braces
✅ Patients typically
adapt to the appliances relatively quickly

Clippy-L
A fully lingual orthodontic system where the brackets are attached to the inner surface of both the upper and lower teeth, making it virtually impossible for others to notice that you are wearing braces.
✅
About one-third the size of conventional lingual brackets, offering excellent aesthetics
✅
Does not make the lips protrude, since the brackets are placed on the inside of the teeth
✅
Completely discreet orthodontic treatment
✅
Highly preferred by people with active social or professional lifestyles

Clear Aligners
A method of orthodontic treatment that corrects teeth using transparent aligners without wires or brackets. These aligners are made of thin, clear plastic and are designed to be removable.
✅
Removable design, making it hygienic and easy to maintain
✅ Can be
removed whenever needed
✅
Shorter adaptation period compared to conventional braces
※ Because there are limitations in tooth movement, this treatment may not be suitable for all cases, so consultation with an orthodontic specialist is required.

Invisalign
A premium removable clear aligner system designed to effectively treat complex orthodontic cases, including malocclusion and protruding teeth.
✅
Advanced clear aligner system that improves upon the limitations of conventional clear aligners
✅
Relatively less initial discomfort compared to traditional braces
✅
Worn for 20–22 hours per day, with aligners typically
changed every two weeks
✅
Fewer clinic visits may be required compared to conventional orthodontic treatment

MTA Partial Orthodontics
A partial orthodontic treatment designed to correct misaligned front teeth without moving the molars. This method uses small round tubes and thin wires to efficiently and quickly align the front teeth.
✅
Small appliances that are less noticeable
✅
Comfortable to wear, with minimal impact on speech
✅
Thin wires allow faster tooth movement in the front teeth area
※ Because there are limitations in tooth movement, it may not be suitable for all cases, and consultation with an orthodontic specialist is necessary.
Why Choose Good Day?
- Transparent, inclusive pricing (bracket, wire changes, monthly visits).
- Specialist orthodontic care using top-tier technology.
- Global-standard aesthetics and oral health approach.
- Foreign patient-friendly (insurance, English/Korean support)
Final Thoughts
- Yes! Traditional braces in South Korea cost significantly less—up to 50% cheaper—compared with Western countries, while maintaining top-tier care in clinics like Yonsei Good Day Dental Clinic.
- If you're considering international treatment, this clinic offers a seamless balance of affordability, quality, and convenience.
