INVISALIGN IN GANGNAM – STRAIGHTEN YOUR TEETH DISCREETLY AND COMFORTABLY
Achieve a Perfect Smile with Invisalign at YONSEI GOOD DAY Dental Clinic in Seoul
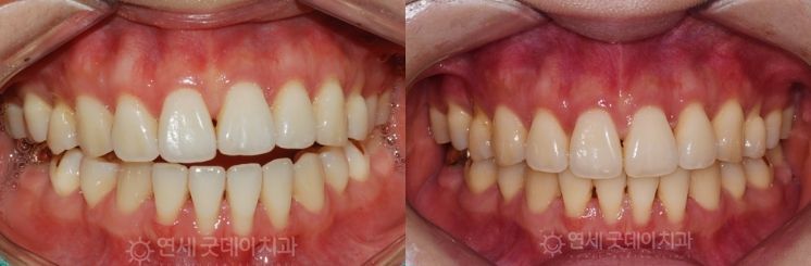
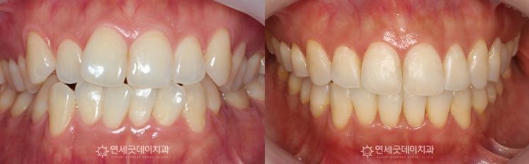
If you want to straighten your teeth without metal braces, Invisalign is the perfect solution. At YONSEI GOOD DAY Dental Clinic in Gangnam, Seoul, we offer customized Invisalign treatments to help you achieve a perfectly aligned, confident smile with clear, removable aligners.
Unlike traditional braces, Invisalign uses virtually invisible aligners, allowing you to fix crooked teeth, close gaps, and correct bite issues without affecting your daily routine. With our advanced digital scanning technology and personalized treatment plans, we ensure a comfortable, effective, and discreet orthodontic experience.

WHY CHOOSE
INVISALIGN?
Invisalign offers aesthetic and functional benefits, making it a preferred choice for teenagers and adults looking for a discreet orthodontic solution.
✅
Virtually Invisible – Clear aligners make your orthodontic treatment
undetectable.
✅
Comfortable Fit – No metal wires or brackets, reducing irritation and discomfort.
✅
Removable & Convenient – Eat, brush, and floss as usual without restrictions.
✅
Faster Results – Invisalign treatment can be
quicker than traditional braces depending on the case.
✅
Customized Treatment – Tailored to your specific needs using
3D digital scanning.
WHAT INVISALIGN CAN FIX
Invisalign effectively treats a variety of orthodontic concerns, including:
✔️
Crowded Teeth – Aligns overlapping or crooked teeth for a more uniform appearance.
✔️
Gaps Between Teeth – Closes unwanted spaces for a more balanced smile.
✔️
Overbite & Underbite – Corrects bite alignment for improved function and comfort.
✔️
Crossbite & Open Bite – Ensures proper tooth positioning to prevent jaw issues.
✔️
Mild to Moderate Misalignment – Straightens teeth for a natural, symmetrical look.
THE INVISALIGN TREATMENT PROCESS: STEP-BY-STEP

- 01. Initial Consultation & Digital 3D Oral Scan
Using the advanced iTero® oral scanner, we capture a precise 3D scan of the patient’s teeth. This highly accurate, error-free scan enhances the precision of appliance fabrication and allows patients to preview how their teeth and facial profile will change after treatment.


- 02. Treatment Roadmap Design Between Yonsei Good Day Dental & Invisalign Headquarters
Our orthodontic specialists send detailed treatment requirements to Invisalign headquarters for appliance fabrication and treatment planning. Based on these instructions, Invisalign technicians create customized aligners and update the treatment plan on their software server.

- 03. Custom Appliance Fabrication at Invisalign Headquarters via 3D Printing
Using the treatment plan designed by our orthodontists at Yonsei Good Day Dental, Invisalign headquarters produces customized aligners with advanced 3D printing technology. The aligners are delivered in multiple individually packaged sets according to treatment stages. The orthodontist then provides 3–4 sets at a time to the patient.

- 04. Start of Invisalign Treatment
Patients are generally advised to switch to the next set of aligners every two weeks until their teeth reach the desired final position. Depending on individual dental conditions, weekly changes may also be recommended. Since dental visits are required only once every 6–8 weeks, patients can enjoy a relatively flexible schedule.
WHY CHOOSE YONSEI GOOD DAY DENTAL CLINIC FOR INVISALIGN?
✅ Certified Invisalign Providers
- Experienced in treating simple to complex orthodontic cases.
✅ Advanced 3D Scanning Technology
- Precise digital impressions for a custom-fit aligner experience.
✅ Comfortable & Discreet Treatment
- Aesthetic, pain-free, and hassle-free orthodontic care.
✅ Personalized Treatment Plans
- Designed to meet your unique dental and lifestyle needs.
✅ Convenient Location in Gangnam
- Premium orthodontic care in the heart of Seoul.
✅Black Diamond & Top Provider
- Yonsei Good Day Dental has been recognized as one of the leading clinics in Korea, thanks to its extensive clinical cases and advanced orthodontic expertise.
At YONSEI GOOD DAY Dental Clinic, we are dedicated to helping you achieve the smile of your dreams with expertly customized Invisalign treatment. Whether you need minor adjustments or full smile correction, our specialists provide the highest level of care for exceptional results.

FAQ
1. How long does Invisalign treatment take?
- The duration varies depending on the complexity of your case but typically ranges from 6 to 18 months.
2. Is Invisalign painful?
- Invisalign is more comfortable than traditional braces, though you may feel slight pressure when switching to a new aligner as your teeth gradually move.
3. How often should I wear my aligners?
- Aligners should be worn 20-22 hours per day and only removed for eating, drinking (except water), and oral hygiene.
4. Can I eat and drink with Invisalign?
- You must remove your aligners before eating or drinking anything other than water to prevent staining and damage.
5. Will Invisalign affect my speech?
- There may be a short adjustment period, but most patients adapt quickly without long-term speech changes.
6. How often do I need check-ups?
- Most patients visit the clinic every 6-8 weeks for progress monitoring and adjustments.
7. Can I whiten my teeth during Invisalign treatment?
- Yes! Some patients opt for whitening treatments while wearing Invisalign, especially since aligners can help distribute whitening gel evenly.
8. Do I need to wear retainers after Invisalign?
- Yes, retainers help maintain your new smile and prevent teeth from shifting back.
9. Is Invisalign suitable for teenagers?
- Yes! Invisalign Teen is specifically designed for younger patients and includes compliance indicators.
10. How do I clean my aligners?
- Use lukewarm water and a soft toothbrush or Invisalign cleaning crystals to keep aligners clear and odor-free.

