首爾深咬合矯正
為什麼選擇 Yonsei Good Day Dental Clinic?
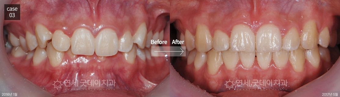
Deep Overbite Where the Upper Teeth Excessively Cover the Front Teeth?
A Receding Chin Can Make the Face Look Shorter
When the lower jaw is small, it is commonly referred to as a receding chin.
A condition where the upper teeth cover the lower teeth more than normal is called a deep overbite.
Even if the teeth appear straight, the lower teeth may sit too deeply behind the upper teeth, which can make the face appear shorter. In severe cases, the edges of the lower front teeth may even touch the gums or oral mucosa.
If left untreated, this condition may not only cause aesthetic concerns, such as the lower teeth barely being visible, but can also lead to periodontal disease, tooth damage, teeth grinding (bruxism), and temporomandibular joint (TMJ) disorders.




By rotating the lower teeth forward, the appearance of a receding chin can be improved.
If the lower jaw is rounded, lacks volume, or is smaller compared to the upper jaw, a miniplate can be used to move the upper jaw slightly backward and upward while guiding the lower jaw forward.
Afterward, the treatment is completed by fine-tuning the tooth angle through forward rotation of the lower teeth.
This process helps create natural jaw volume and effectively improve the appearance of a receding chin.
